台北市

全口齲齒一次性治療
感謝格子兒童青少年牙醫診所提供

多生牙治療
感謝格子兒童青少年牙醫診所提供

全口齲齒一次性治療
感謝佳醫誠樂牙醫提供

新北市

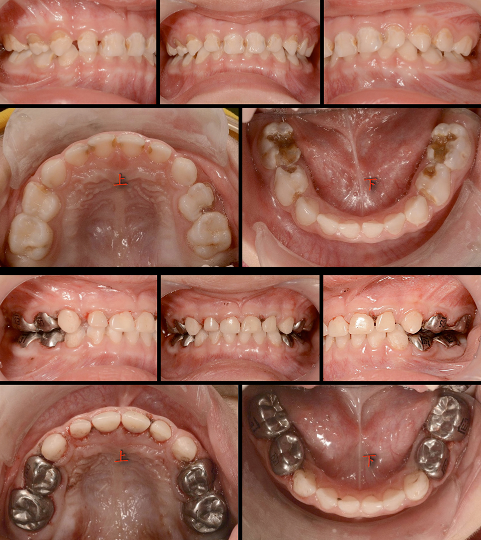
全口齲齒治療-不鏽鋼牙套
感謝匯通牙醫診所提供

全口齲齒治療-樹脂牙套
感謝群英牙醫診所提供

新竹縣市

全口齲齒一次性治療
感謝夢奇地兒童牙醫提供

全口齲齒一次性治療
感謝安徒生兒童牙科提供

全口齲齒一次性治療
感謝彼德潘兒童青少年牙醫診所提供